Invisible Orthodontics in Chevy Chase, MD
At Modern Haus Dental in Chevy Chase, MD, we offer Invisalign® clear aligners, a modern solution designed to fit your lifestyle. Led by Dr. Kristy Lee, a Top Dentist recognized by Bethesda Magazine (2024) and Washingtonian Magazine (2025), our team combines expert care with the latest dental technology to make your smile transformation seamless and stress-free.


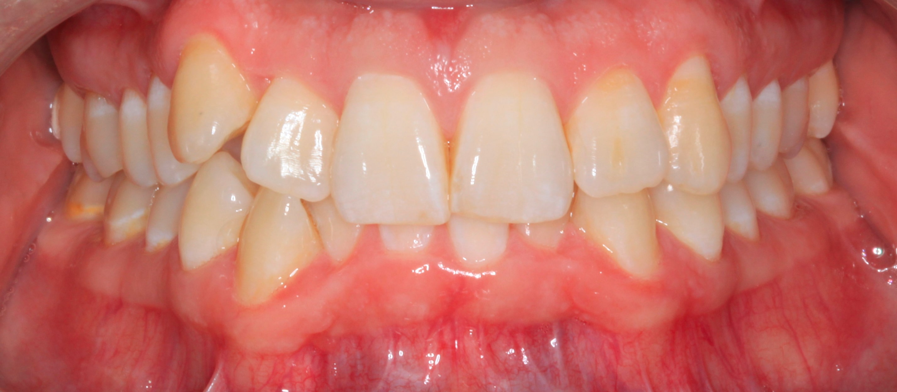
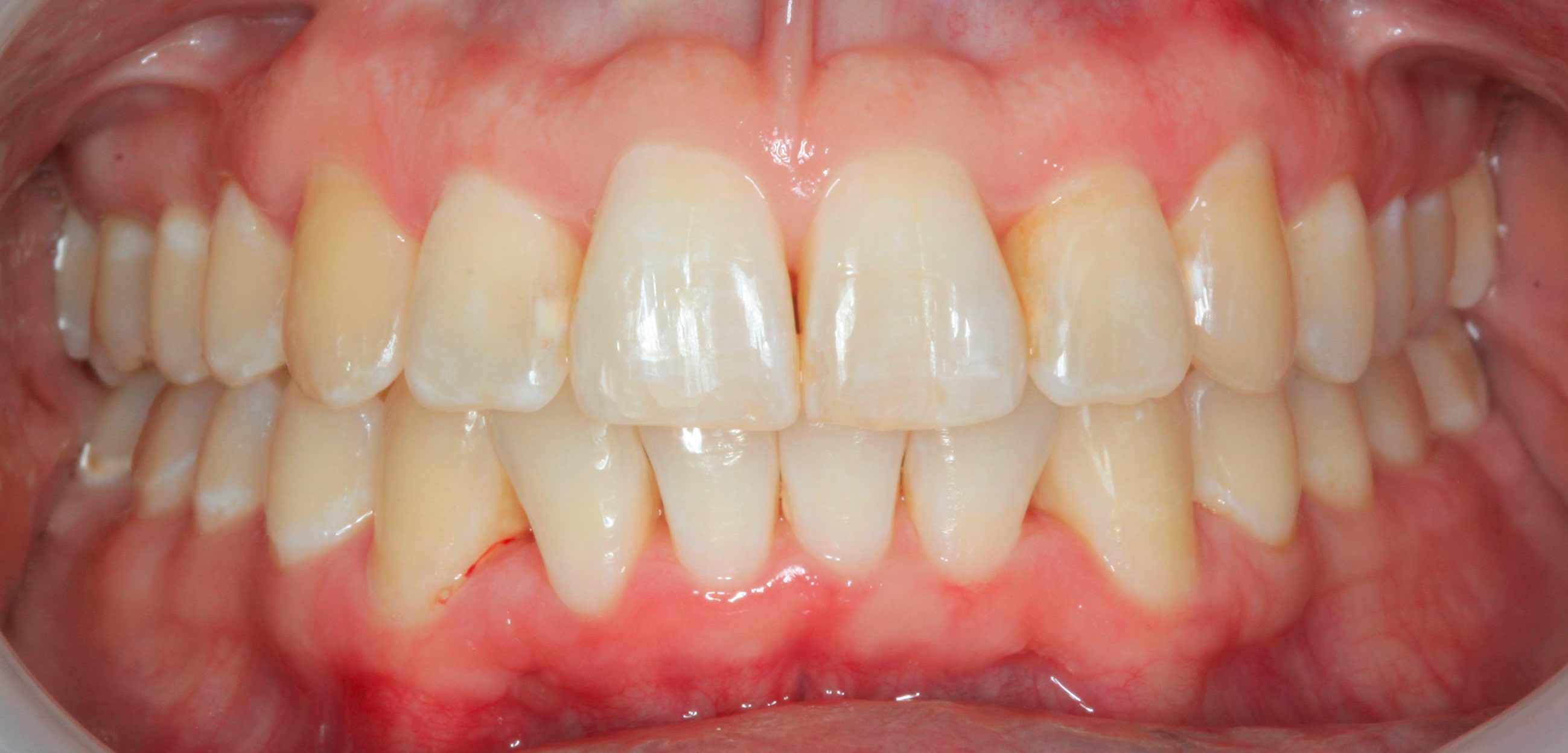
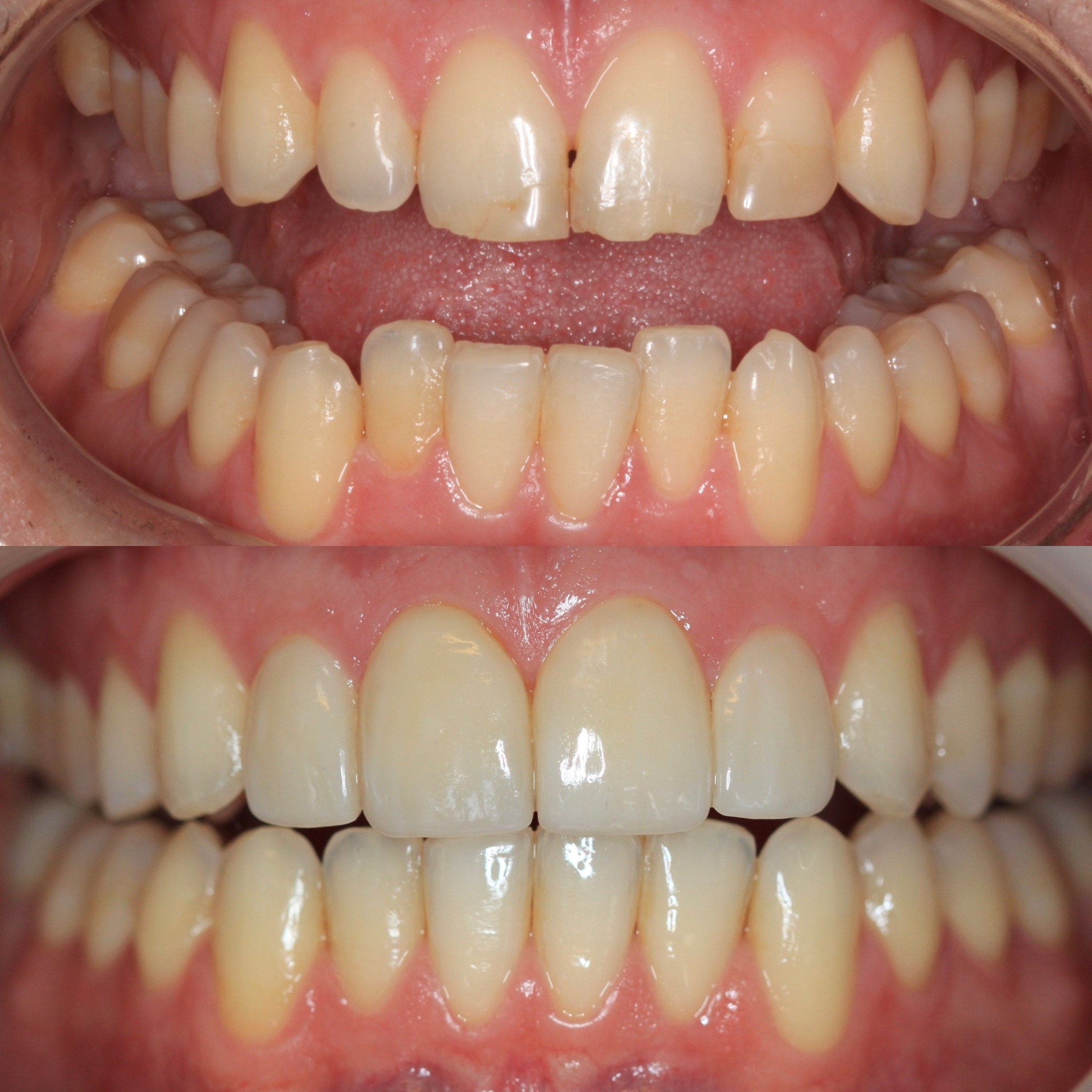
Invisalign® clear aligners are a modern alternative to traditional metal braces. At Modern Haus Dental in Chevy Chase, MD, we specialize in creating beautiful, healthy smiles using Invisalign's advanced aligner system.
We employ a multidisciplinary approach with smile design, where we first place the teeth in the proper place with aligners, then use veneers to conserve tooth structure.
Ready to start your journey to a confident smile?




Comprehensive Consultation and Digital Scanning
Customized Treatment Planning
Aligner Fabrication & Delivery
Active Wear & Tooth Movement
Progress Monitoring & Adjustments
We begin with a full exam using the iTero Lumina scanner and AI-powered X-rays. You’ll see a digital preview of your future smile, and Dr. Lee will screen for cavities, infection, or gum issues before treatment starts.
Your Invisalign plan is designed around your specific goals, whether aligners alone or as part of a larger cosmetic plan. Each movement is digitally mapped to ensure accurate progress and predictable results.
Your custom aligners are made with Invisalign SmartTrack® material and delivered in a series. You’ll receive multiple sets at once to reduce office visits and keep treatment moving efficiently.
You’ll wear your aligners 20–22 hours per day and change them every one to two weeks. Attachments may be placed to guide precise tooth movement and improve treatment accuracy.
We monitor your progress through scheduled check-ins and make refinements if needed. This keeps your treatment on track and ensures your final result matches the original plan.
Read what our patients are saying about our Invisalign and dental services in Chevy Chase, MD:
Call (301) 986-4814 or request an appointment below to set up your first visit. We can't wait to hear from you!